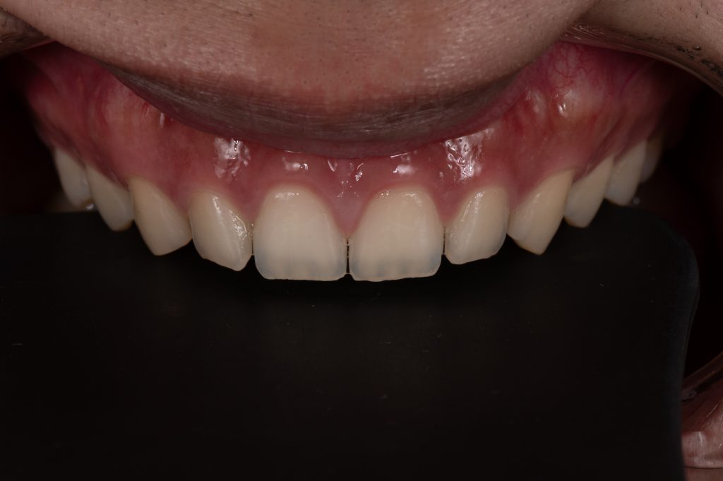
初始困擾
✖️ 因長期磨牙,牙齒出現缺角、不圓潤
✖️ 牙齒表面斑駁、色澤不均
✖️ 微笑線條不自然,缺乏協調感
改善方案
✔️ 牙齦水雷射修整
調整牙齒與牙齦比例,降低術後疼痛與腫脹,讓牙齒比例更和諧。
✔️ 全瓷超薄貼片
僅需極小修磨(最薄處僅 0.3mm),達到幾乎不傷害牙齒的同時改善顏色與形態。
✔️ 微笑曲線再設計
重新規劃牙齒外型與排列,讓笑容自然協調。



醫師以最小的修磨方式達到幾乎不傷害牙齒而使牙齒變美變白。
最薄處僅0.3mm厚,需要手工瓷塊才能達到的超級薄。

專業細節
由頂級技師手工打造超薄瓷塊,確保自然透亮
精緻染色與切端勾勒,呈現「白卻自然」的完美質感
搭配男生膚色,展現專屬的自然美感



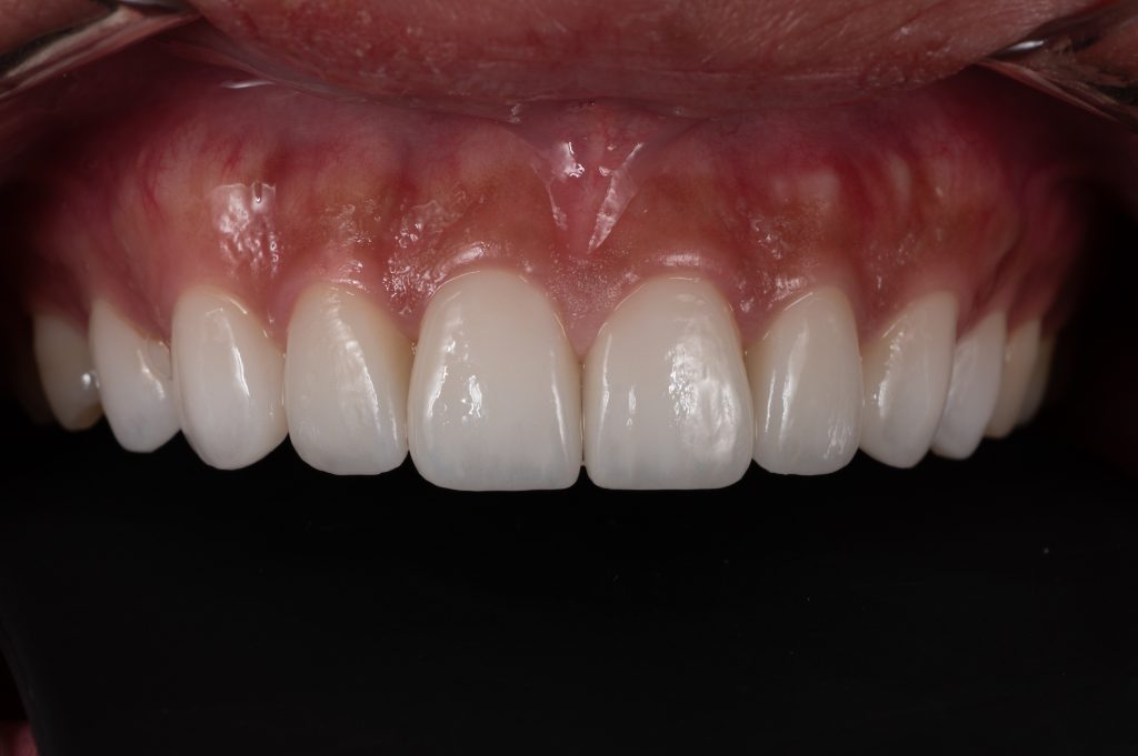
術後效果
牙齒更白卻自然
外型圓潤協調
微笑線條流暢自信



琢悅牙醫|專琢你的美
讓每一次笑容都值得被珍藏。