貼片治療 | 給您自信微笑

原始困擾:

✖️牙齒破損✖️齒間樹枝填補物變色✖️型態不對稱
✔️ 重新設計牙齒外型排列達到微笑曲線效果✔️改善顏色與型態

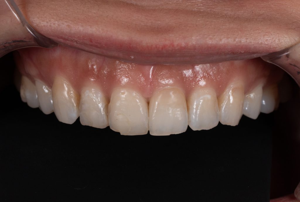
H 小姐因對牙齒色澤不滿意,加上多年磨牙造成的磨損,前來尋求改善。
長期使用的齒間樹脂填補物逐漸出現斑駁變色,不僅影響美觀,也使牙齒外型不夠協調。

為了同時解決顏色與形態問題,我們進行微笑曲線設計,重新規劃牙齒的比例與排列。
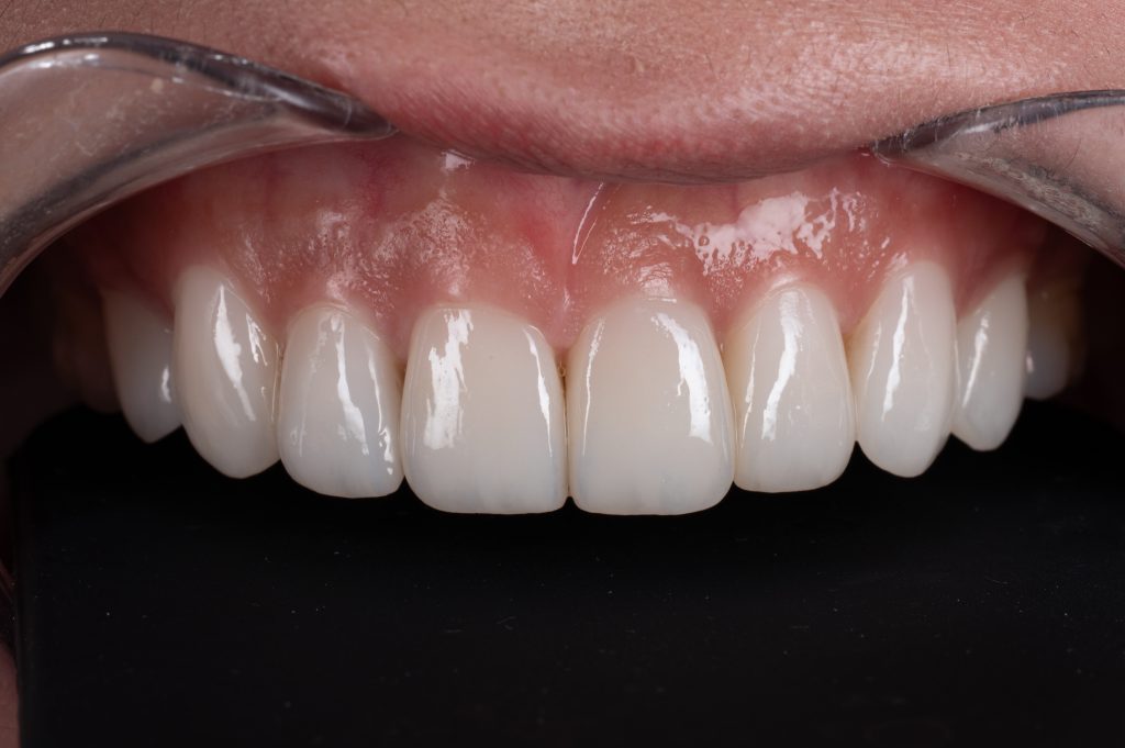
採用玻璃陶瓷emax貼片,不僅能精準修飾齒型,還能大幅改善牙齒色澤,達到亮白卻自然的效果。

牙齒色澤均勻亮白
自然透感與美觀兼具
齒型比例與微笑曲線更協調
提升自信笑容,同時改善長期磨損造成的外觀問題
全瓷貼片不只是美觀的修復,更能在設計過程中考量功能與健康,達到外型、色澤與口腔狀況的全方位提升。

琢悅牙醫|專琢你的美
讓每一次笑容都值得被珍藏。