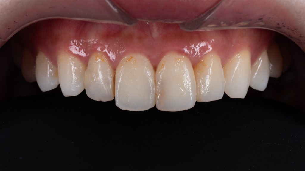
原始困擾:
✖️牙齒斑駁✖️牙齒不對稱 ✖️形態不滿意 ✔️貼片改善 ✔️ 重新設計牙齒外型排列達到微笑曲線效果
病患Y小姐因矯正期間難以清潔牙縫,導致蛀牙填補處出現斑駁、色澤不均,且讓牙齒形狀、對稱性難以滿意呈現
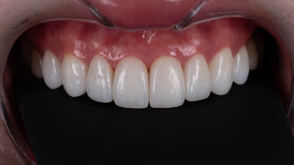
貼片材質:
採用高透光玻璃陶瓷 e.max 貼片
從顏色、光澤到形態,都能模擬天然牙齒,打造透亮、自然而非人工感的白晰笑容


美學設計重構微笑曲線:
透過精細設計,貼片不僅整平色澤,更修飾牙齒排列,提高整體微笑時的協調與美感

病患選擇高透自然玻璃陶瓷瓷塊(E max)






琢悅牙醫|專琢你的美
讓每一次笑容都值得被珍藏。