即拔即種 × 全瓷美學重建

原始困擾:

✖️門牙斷裂✖️牙齒不對稱 ✖️牙齒磨損 ✔️貼片改善 ✔️植牙即拔即種✔️ 重新設計牙齒外型排列達到微笑曲線效果

A小姐因車禍導致兩顆門牙斷裂,無法保留。
急診後立即來到琢悅牙醫,尋求最適合的修復方式。

在醫師評估後,採用 #即拔即種
於拔牙當下直接植入人工牙根,不僅縮短療程時間,也最大程度保留齒槽骨,避免日後骨萎縮。

微創植牙治療亮點

手術過程中出血極少、術後幾乎無不適感

牙齦穩定後,搭配全瓷貼片與植牙假牙,完成全口美學重建

本院以「最少修磨、最大保留真牙」為理念,保留牙齒自然形態

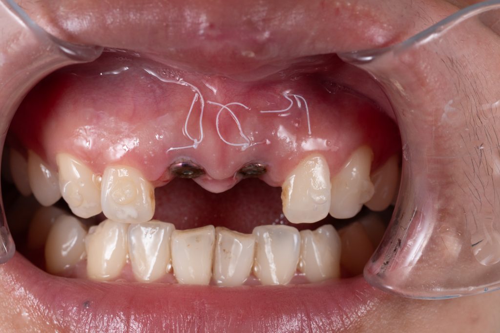
病患急診後迅速來診所詢問如何處置
即拔即種手術後的傷口,幾乎沒有任何出血及不適
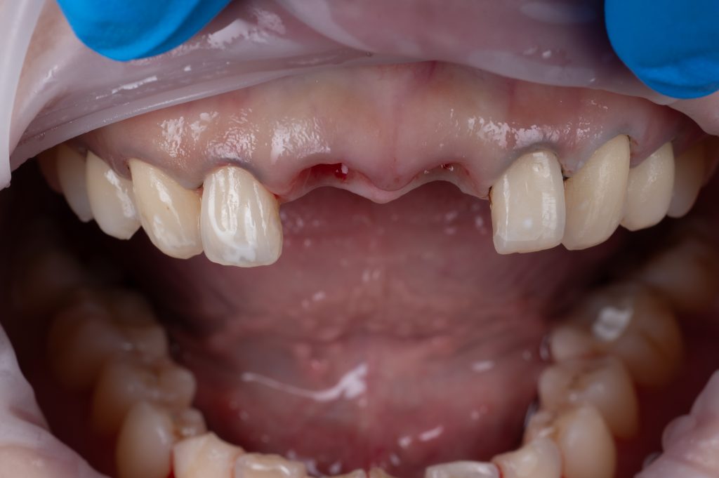
牙齦復原後修整牙齒準備製作正式貼片,本院製作貼片以最少的修磨牙齒為主軸,本圖為牙齒已經修磨後的狀態,幾乎完整保留真牙。
裝上正式植牙假牙以及貼片後的完成照。
術後完成照片。
重新擁有自然、透亮、排列完美的笑容
不僅恢復功能,更升級了微笑的質感與自信。

琢悅牙醫|專琢你的美
讓每一次笑容都值得被珍藏。